
Metatron Hunter 4025 NLS system displaying diagnostic graphs on computer screen
El Metatron Hunter 4025 NLS representa un avance significativo en este campo. Este sistema genera gráficos complejos que requieren interpretación especializada.
Esta guía proporciona las herramientas necesarias para comprender cada elemento visual. Aprenderá a leer patrones, identificar anomalías y tomar decisiones informadas basadas en los resultados.
Fundamentos de la tecnología NLS y generación de gráficos
El sistema de diagnóstico no lineal se basa en principios de física cuántica. Esta tecnología analiza las frecuencias electromagnéticas emitidas por células y tejidos del cuerpo humano.
Los orígenes de esta innovación se remontan a finales del siglo XIX. Nikola Tesla inició trabajos teóricos y experimentales que culminaron en el desarrollo del generador cuántico no lineal.
Posteriormente, científicos destacados continuaron esta investigación. J. Lakhovsky estudió los efectos de radiofrecuencias en la salud animal y vegetal. R. Rife investigó tanto frecuencias de radio como eléctricas sobre el bio-campo humano.

Principios del intercambio de información electromagnética
Cada tejido u órgano posee una firma electromagnética única. El hunter 4025 nls detecta estas señales mediante sensores especializados de alta sensibilidad.
El sistema compara las frecuencias medidas con una base de datos extensa. Esta contiene 4025 espectros digitales de preparaciones y procesos biológicos.
La tecnología identifica desviaciones de los patrones normales. Estas variaciones indican posibles alteraciones en la estructura o función del tejido analizado.
Características del hardware
- Generador interno de frecuencia 4.9GHz
- Sensor de audífonos con luz para escaneo cerebral
- Copa de testeo para análisis de preparaciones
- Conexión USB para alimentación y datos
- Consumo máximo de corriente 300mA
Requisitos del sistema operativo
- Compatible con Windows XP, Vista, 7, 8, 10, 11
- Procesador Pentium III mínimo 1 GHz
- Memoria RAM de 512 MB requerida
- Tarjeta de video SVGA 1024×768 mínimo 8MB
- Espacio libre en disco duro de 1GB

El proceso de análisis multidimensional
El 4025 nls ofrece un escaneo virtual multidimensional completo. El sistema evalúa 1432 órganos y tejidos en tiempo de escaneo promedio de 2 segundos por objeto.
Los gráficos generados representan múltiples dimensiones de información. Incluyen datos sobre estructura celular, nivel bioquímico y actividad funcional del tejido.
Esta capacidad de análisis multidimensional permite detectar alteraciones en etapas muy tempranas. El sistema identifica cambios a nivel molecular antes de manifestaciones clínicas evidentes.
¿Necesita asesoramiento técnico sobre la interpretación de gráficos específicos?
El equipo de soporte técnico de MAIKONG está disponible 24 horas para resolver sus consultas. Contáctenos por WhatsApp al +86 135 1090 7401 o envíe un correo a Lucy@metatron4025.ar
Navegación por la interfaz del software Metatron Hunter 4025 NLS
El software Metapathia Hunter proporciona una interfaz intuitiva para profesionales. La pantalla principal organiza las funciones en secciones claramente definidas.
El menú superior permite acceder a diferentes modos de análisis. Estas opciones incluyen investigación bacteriana, análisis de ultraestructura y pruebas vegetativas.

Elementos principales de la pantalla de trabajo
La zona central muestra el modelo gráfico tridimensional del cuerpo. Los usuarios pueden rotar esta visualización para examinar diferentes perspectivas.
El panel lateral derecho contiene controles de escaneo. Aquí se inician las mediciones y se ajustan parámetros de análisis específicos.
La barra inferior presenta información del paciente y estado de conexión. También muestra el progreso del escaneo en tiempo real durante las evaluaciones.

3D anatomical model visualization in Metatron Hunter software
Funciones del panel de control
El panel de control ofrece acceso rápido a todas las capacidades del sistema. Los botones están organizados por categorías funcionales.
- Botón de inicio de escaneo rápido
- Selector de órgano o sistema específico
- Ajustes de sensibilidad del análisis
- Acceso a base de datos de referencias
- Herramientas de comparación temporal
- Exportación de informes y gráficos
Configuración inicial del sistema
Antes del primer uso, el sistema requiere calibración básica. Este proceso asegura la precisión del 95% en las investigaciones realizadas.
Los parámetros de idioma se configuran durante la instalación. El software está disponible en inglés, alemán, ruso, chino, polaco, español y otros idiomas.
La conexión del sensor de audífonos debe verificarse antes de cada sesión. El sistema indica mediante señal visual cuando la conexión es correcta y estable.

| Componente | Especificación | Función |
| Sensor de audífonos | Con luz LED integrada | Captura señales electromagnéticas cerebrales |
| Copa de testeo | Material no conductor | Análisis de preparaciones y sustancias |
| Cable USB azul | Conexión de alta velocidad | Transferencia de datos y alimentación |
| USB dongle | Llave de protección | Activación y seguridad del software |
| Cables de conexión negros | Alta calidad, 2 unidades | Conexiones auxiliares del sistema |
Tipos de gráficos básicos generados por el hunter 4025 nls
El sistema produce diversos tipos de visualizaciones gráficas. Cada formato presenta información específica sobre el estado del tejido analizado.
La comprensión de estos diferentes formatos es fundamental para la práctica profesional. Los profesionales deben familiarizarse con cada tipo para realizar análisis completos y precisos.

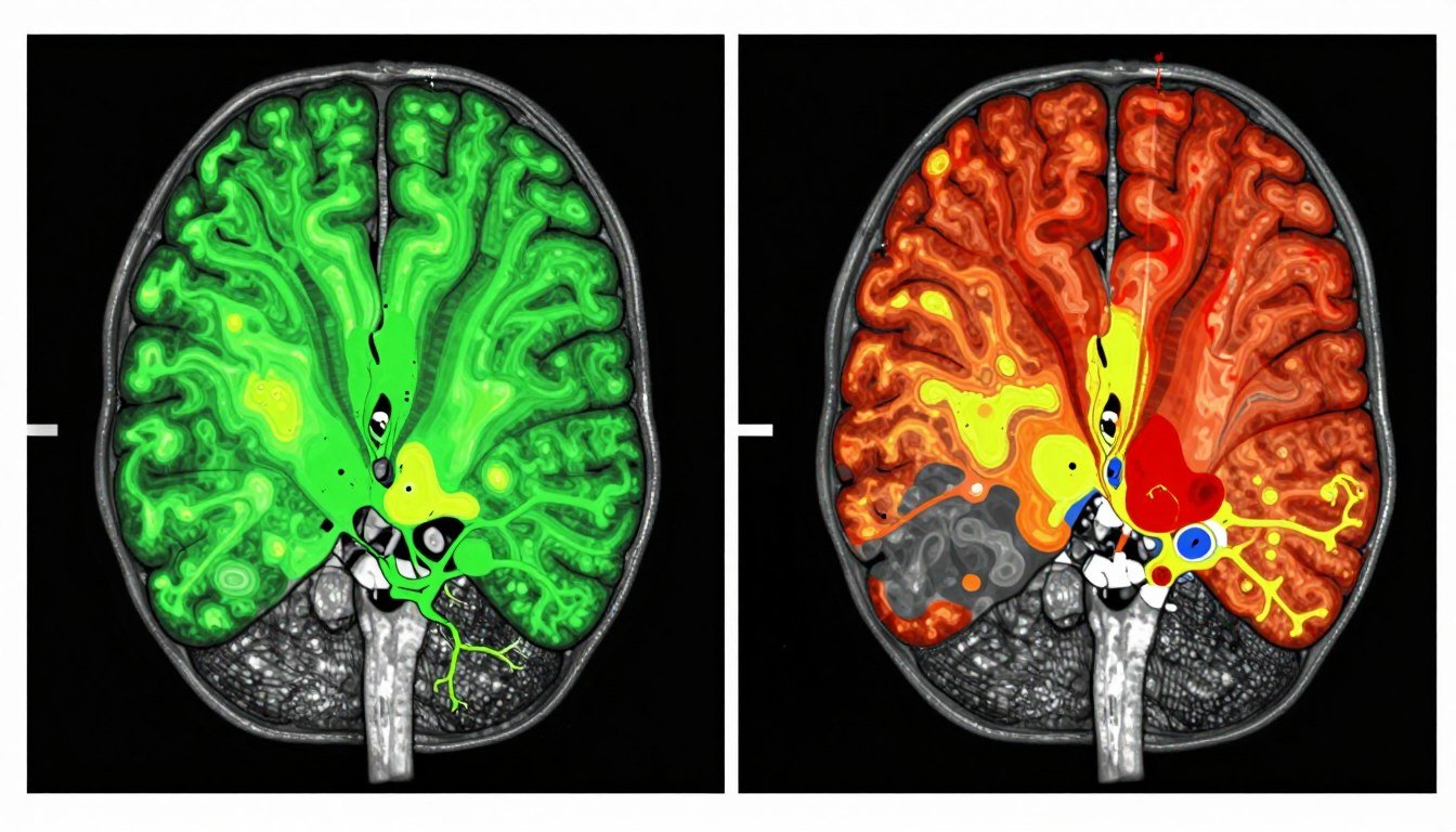
Gráficos de barra de estado
Los gráficos de barra representan el nivel de desviación del estado normal. Una escala de colores indica la severidad de las alteraciones detectadas.
El verde representa estado óptimo sin desviaciones significativas. El amarillo indica alteraciones leves que requieren monitoreo.
El naranja señala desviaciones moderadas que necesitan atención. El rojo marca alteraciones severas que demandan intervención inmediata.
Interpretación de la escala cromática
- Verde (1-2): Estado funcional óptimo del tejido
- Amarillo (3): Alteración funcional leve detectada
- Naranja (4-5): Cambios estructurales moderados presentes
- Rojo (6): Patología severa o proceso degenerativo avanzado
Factores que afectan la lectura
- Estado emocional del paciente durante escaneo
- Medicación actual y suplementos consumidos
- Momento del día de la evaluación
- Calibración reciente del equipo
Gráficos de análisis espectral
El análisis espectral muestra la firma electromagnética del tejido. Estos gráficos comparan el espectro medido con patrones de referencia normales.
Las ondas representan frecuencias específicas emitidas por las células. La amplitud de cada onda indica la intensidad de la señal detectada.
Las desviaciones del patrón normal aparecen como picos o valles anómalos. Estas irregularidades sugieren alteraciones en la actividad celular del área examinada.

Visualizaciones tridimensionales de órganos
Los modelos 3D presentan una representación anatómica detallada. Los colores superpuestos indican el estado funcional de diferentes regiones.
Los usuarios pueden rotar el modelo para examinar todas las perspectivas. Esta capacidad facilita la identificación precisa de áreas problemáticas.
El sistema permite hacer zoom en regiones específicas. Esta función es especialmente útil para evaluar focos tumoración o concentraciones de alteraciones.

Gráficos de entropía
El análisis de entropía mide el grado de desorden en el sistema biológico. Valores elevados de entropía indican procesos patológicos activos.
Estos gráficos son particularmente útiles para detectar procesos tumorales. También identifican áreas de inflamación crónica o degeneración tisular.
La escala numérica va de 1 a 6 en la mayoría de los casos. Valores superiores a 4 generalmente requieren investigación adicional y seguimiento cercano.
Interpretación de gráficos por sistema corporal
Cada sistema del cuerpo humano presenta patrones gráficos característicos. El Metatron Hunter 4025 NLS analiza estos sistemas de manera independiente y correlacionada.
La interpretación sistemática requiere conocimiento de la anatomía y fisiología normal. Los profesionales deben comparar los resultados con valores de referencia establecidos.

Sistema osteo-esquelético
Los gráficos del sistema óseo muestran la densidad y estructura del tejido. Las áreas de baja densidad aparecen en colores más cálidos.
El análisis de articulaciones revela procesos inflamatorios o degenerativos. Las articulaciones afectadas presentan patrones de color naranja o rojo.
La evaluación muscular identifica áreas de tensión o debilidad. Los músculos comprometidos muestran desviaciones en sus patrones espectrales normales.
Consejo profesional: Compare siempre las articulaciones simétricas. Las diferencias significativas entre lados izquierdo y derecho pueden indicar compensaciones posturales o lesiones unilaterales que requieren atención específica.
Sistema linfático
Los ganglios linfáticos individuales se evalúan de forma específica. El sistema detecta congestión o inflamación en estos puntos críticos del sistema inmune.
Los patrones de flujo linfático se visualizan mediante mapas de color. Las áreas de estancamiento aparecen con tonalidades más intensas.
La función inmunológica general se refleja en el estado de órganos linfáticos mayores. El bazo y el timo son particularmente importantes en esta evaluación.

Sistema vascular
El análisis vascular incluye arterias coronarias, venas y capilares. Los gráficos muestran el tono vascular y la permeabilidad de los vasos.
Las áreas de constricción o dilatación anormal se identifican claramente. Estos hallazgos pueden indicar riesgo cardiovascular o trastornos circulatorios.
La evaluación de capilares periféricos revela la microcirculación. Esta información es valiosa para detectar problemas circulatorios en etapas tempranas.
| Sistema | Parámetros clave | Indicadores de alerta |
| Nervioso | Actividad cerebral, médula espinal, nervios periféricos | Asimetrías hemisféricas, hiperactividad focal |
| Urogenital | Función renal, vejiga, órganos reproductivos | Valores elevados en próstata, ovarios o útero |
| Respiratorio | Pulmones, tráquea, bronquios, capacidad alveolar | Áreas de consolidación, patrones obstructivos |
| Digestivo | Estómago, intestinos, esófago, hígado, páncreas | Inflamación intestinal, congestión hepática |
| Endocrino | Tiroides, glándulas suprarrenales, hipófisis | Hiper o hipoactividad glandular |
Sistema nervioso central y periférico
El cerebro se analiza por regiones funcionales específicas. El sistema identifica áreas de hiperactividad o hipoactividad neuronal.
La médula espinal se evalúa segmento por segmento. Las compresiones o irritaciones nerviosas se visualizan como alteraciones en los gráficos correspondientes.
Los nervios periféricos se examinan en su recorrido anatómico. Esta evaluación detecta neuropatías o daños en la conducción nerviosa.

Análisis microbiológico mediante gráficos del 4025 nls
Una función distintiva del sistema es la capacidad detectar microorganismos. El hunter 4025 nls identifica bacterias, hongos, virus y parásitos mediante análisis espectral.
Cada tipo de microorganismo posee una firma electromagnética única. La base de datos del sistema contiene miles de estos patrones de referencia.

Detección de bacterias patógenas
El sistema compara las frecuencias medidas con espectros bacterianos conocidos. Cuando detecta coincidencias, identifica el tipo específico de bacteria presente.
Los gráficos muestran la concentración relativa del microorganismo. Valores elevados indican colonización significativa que puede requerir tratamiento.
La localización precisa de la infección se visualiza en el modelo anatómico. Esta información guía decisiones terapéuticas específicas y focalizadas.
Bacterias comúnmente detectadas
- Helicobacter pylori en sistema digestivo
- Escherichia coli en tracto urinario
- Staphylococcus aureus en piel y tejidos blandos
- Streptococcus en sistema respiratorio
- Mycoplasma en vías respiratorias superiores
Interpretación de niveles de carga
- Nivel 1-2: Colonización mínima o flora normal
- Nivel 3: Colonización moderada requiere monitoreo
- Nivel 4: Carga bacteriana elevada, considerar tratamiento
- Nivel 5-6: Infección activa, intervención necesaria
Identificación de virus
La detección viral funciona mediante el mismo principio espectral. El sistema identifica la presencia de material genético viral en células analizadas.
Los virus comunes como herpes, Epstein-Barr y citomegalovirus son detectables. También se identifican virus respiratorios y gastrointestinales frecuentes.
La carga viral se representa en una escala numérica. Esto permite evaluar si una infección está activa, latente o en resolución.

Análisis de hongos y levaduras
Las infecciones fúngicas sistémicas o localizadas se identifican claramente. Candida albicans es uno de los organismos más frecuentemente detectados.
El sistema distingue entre colonización normal y sobrecrecimiento patológico. Esta diferenciación es crucial para decisiones de tratamiento apropiadas.
Los gráficos muestran la distribución anatómica de la colonización fúngica. Áreas de concentración elevada requieren atención específica y tratamiento localizado.
Detección de parasitosis
Los parásitos intestinales y tisulares son identificables mediante sus frecuencias características. El sistema detecta tanto formas adultas como estadios larvarios.
La localización precisa del parásito se visualiza en el modelo corporal. Esta información facilita la selección del tratamiento antiparasitario más efectivo.
El seguimiento post-tratamiento se realiza fácilmente mediante escaneos comparativos. La reducción en la intensidad de la señal indica efectividad del tratamiento.
Importante para profesionales de salud: Los resultados microbiológicos del Metatron Hunter 4025 NLS son una herramienta de screening y orientación. Para confirmación diagnóstica definitiva, considere realizar cultivos microbiológicos convencionales cuando esté clínicamente indicado.
Análisis comparativo y seguimiento temporal
Una capacidad valiosa del sistema es realizar análisis comparativo entre múltiples escaneos. Esta función permite evaluar la evolución del paciente en el tiempo.
Los profesionales pueden comparar resultados pre y post tratamiento. Esta comparación objetiva demuestra la efectividad de las intervenciones realizadas.

Configuración de estudios comparativos
El software permite cargar escaneos históricos del mismo paciente. La base de datos organiza estos registros por fecha y tipo de análisis realizado.
Los usuarios seleccionan los dos o más escaneos a comparar. El sistema genera automáticamente gráficos superpuestos que facilitan la identificación de cambios.
Las diferencias significativas se resaltan mediante marcadores visuales. Flechas y colores contrastantes indican áreas de mejoría o deterioro.
Protocolo recomendado de seguimiento
Para obtener resultados comparativos óptimos, establezca un protocolo consistente de evaluación.
- Realizar escaneo basal antes de iniciar tratamiento
- Programar evaluaciones de seguimiento a intervalos regulares
- Mantener condiciones similares en cada sesión (hora del día, estado del paciente)
- Documentar cualquier cambio en medicación o suplementos
- Registrar observaciones clínicas paralelas al escaneo
- Comparar siempre con el escaneo basal y el anterior inmediato


Interpretación de tendencias
Las tendencias a largo plazo son más significativas que fluctuaciones puntuales. Observe la dirección general del cambio a través de múltiples evaluaciones.
Una mejoría consistente indica que el tratamiento es efectivo. Los valores que progresan hacia el rango verde confirman la respuesta positiva del paciente.
El estancamiento o deterioro requiere reevaluación terapéutica. Estos patrones sugieren que puede ser necesario ajustar o cambiar el enfoque de tratamiento.

Uso de gráficos para guiar la corrección informacional
El Metatron Hunter 4025 NLS no solo diagnostica, sino que también ofrece capacidades terapéuticas. La metaterapia utiliza frecuencias específicas para corregionar desequilibrios detectados.
Los gráficos guían la selección de frecuencias terapéuticas apropiadas. El sistema recomienda protocolos basados en los hallazgos del escaneo.

Principios de la metaterapia
La corrección informacional actúa mediante oscilaciones moduladas. Estas frecuencias buscan restaurar la sincronización armónica del tejido afectado.
El sistema emite las frecuencias seleccionadas a través de los auriculares. El paciente permanece en reposo durante la sesión de tratamiento.
La duración de cada sesión varía según la condición tratada. Generalmente oscila entre 15 y 45 minutos por sesión terapéutica.
Metaterapia
Utiliza combinaciones de oscilaciones moduladas emitidas por el dispositivo.
- Frecuencias personalizadas según hallazgos
- Sesiones de 20-30 minutos típicamente
- Puede repetirse múltiples veces
Litoterapia
Emplea características espectrales de minerales específicos.
- Selección basada en propiedades del mineral
- Copa de testeo con mineral físico
- Resonancia de frecuencias minerales
Fitoterapia
Utiliza espectros de plantas medicinales seleccionadas.
- Base de datos de hierbas medicinales
- Frecuencias de compuestos activos
- Testeo de compatibilidad previo
Preparación de remedios informativos
La función “Reprinter” permite grabar información en matrices físicas. Estas matrices pueden ser agua, alcohol, azúcar o parafina.
Los espectros de preparaciones recomendadas se transfieren a la matriz. El paciente luego consume o utiliza esta preparación informativa.
También es posible grabar espectros invertidos de microorganismos. Estas preparaciones buscan reducir la actividad de flora microbiana patógena.

Capacitación especializada disponible: MAIKONG ofrece programas de formación completos sobre el uso terapéutico del Metatron Hunter 4025 NLS. Aprenda técnicas avanzadas de metaterapia, litoterapia y preparación de remedios informativos. Contacte a nuestro equipo para información sobre cursos disponibles en Argentina.
Casos prácticos de interpretación de gráficos
La experiencia práctica es fundamental para dominar la interpretación. A continuación se presentan ejemplos reales de análisis y sus implicaciones clínicas.

Caso 1: Trastorno digestivo funcional
Paciente femenina de 42 años con molestias digestivas recurrentes. El escaneo inicial reveló valores elevados en estómago y duodeno.
Los gráficos espectrales mostraron presencia de Helicobacter pylori. La intensidad de la señal correspondía a nivel 4 en la escala del sistema.
El análisis de entropía del tejido gástrico indicó inflamación moderada. No se detectaron signos de ulceración o cambios estructurales severos.
Hallazgos iniciales
- Mucosa gástrica: nivel de alteración 4
- Duodeno: nivel de alteración 3
- H. pylori detectado: carga nivel 4
- Entropía gástrica: 3.8
- Función hepática: normal
Resultados post-tratamiento (8 semanas)
- Mucosa gástrica: nivel de alteración 2
- Duodeno: nivel de alteración 1-2
- H. pylori: carga reducida a nivel 1
- Entropía gástrica: 2.1
- Mejoría sintomática completa
Caso 2: Fatiga crónica y disfunción endocrina
Paciente masculino de 38 años con fatiga persistente y bajo rendimiento. El escaneo identificó alteraciones en glándulas suprarrenales y tiroides.
Los gráficos mostraron hipoactividad tiroidea con valores de nivel 4. Las suprarrenales presentaban agotamiento con patrón característico de fatiga adrenal.
El análisis del sistema nervioso reveló hiperactividad simpática compensatoria. Este hallazgo explicaba la sensación de tensión constante reportada por el paciente.

Caso 3: Dolor articular recurrente
Paciente femenina de 55 años con dolor en múltiples articulaciones. El escaneo del sistema osteo-esquelético mostró un patrón inflamatorio difuso.
Las rodillas, manos y hombros presentaban valores elevados. El análisis no mostró pérdida significativa de densidad ósea.
Hallazgo adicional: el sistema linfático mostraba congestión generalizada. Este descubrimiento sugirió un componente autoinmune subyacente.
| Articulación | Evaluación inicial | 4 semanas | 8 semanas |
| Rodilla derecha | Nivel 5 (rojo) | Nivel 3 (amarillo) | Nivel 2 (verde) |
| Rodilla izquierda | Nivel 4 (naranja) | Nivel 3 (amarillo) | Nivel 2 (verde) |
| Manos (MCF) | Nivel 4 (naranja) | Nivel 3 (amarillo) | Nivel 1-2 (verde) |
| Hombro derecho | Nivel 3 (amarillo) | Nivel 2 (verde) | Nivel 1 (verde) |
Errores comunes en la interpretación y cómo evitarlos
Incluso profesionales experimentados pueden cometer errores interpretativos. Reconocer estos errores comunes mejora la precisión diagnóstica significativamente.

Error 1: Interpretación aislada sin contexto
Algunos profesionales analizan un órgano sin considerar sistemas relacionados. Esta práctica puede llevar a conclusiones incompletas o incorrectas.
El cuerpo humano funciona como un sistema integrado. Las alteraciones en un área frecuentemente afectan otras regiones.
Siempre realice un escaneo completo del cuerpo. Evalúe las interrelaciones entre sistemas antes de formular conclusiones diagnósticas.
Enfoque correcto
- Escaneo completo de todos los sistemas corporales
- Evaluación de órganos relacionados funcionalmente
- Consideración de conexiones anatómicas y fisiológicas
- Análisis de patrones compensatorios
- Correlación con síntomas clínicos del paciente
Enfoque incorrecto
- Analizar solo el órgano que el paciente refiere
- Ignorar hallazgos incidentales en otras áreas
- No evaluar sistemas de soporte (linfático, vascular)
- Omitir el análisis del sistema nervioso
- Descuidar la evaluación endocrina básica
Error 2: Sobrevalorar hallazgos menores
Alteraciones leves pueden causar alarma innecesaria si se interpretan incorrectamente. No toda desviación requiere intervención inmediata.
Valores en zona amarilla generalmente indican variaciones funcionales normales. Estas pueden reflejar estrés temporal, estado emocional o ritmos circadianos.
Reserve la preocupación clínica para valores persistentemente en zona naranja o roja. Estos hallazgos son más significativos y requieren atención específica.
Error 3: Ignorar el historial del paciente
Los gráficos deben interpretarse considerando el contexto clínico completo. El historial médico, medicación actual y estilo de vida son fundamentales.
Ciertos medicamentos alteran los patrones electromagnéticos normales. Corticosteroides, antidepresivos y antihipertensivos pueden afectar las lecturas.
Documente siempre la medicación actual antes del escaneo. Esta información previene interpretaciones erróneas y conclusiones inapropiadas.
Recomendación importante: Mantenga registros detallados de cada sesión incluyendo hora del día, estado emocional del paciente, medicación actual y hallazgos principales. Esta documentación facilita comparaciones futuras y mejora la precisión interpretativa a largo plazo.
Error 4: Expectativas de cambio inmediato
Algunos profesionales esperan ver mejorías significativas en escaneos demasiado tempranos. Los cambios biológicos reales requieren tiempo para manifestarse.
Respete los tiempos biológicos de regeneración tisular. Las mejoras verdaderas generalmente requieren semanas o meses según la condición.
Programe reevaluaciones a intervalos apropiados para cada caso. Típicamente, 4 a 8 semanas es un período razonable para observar cambios significativos.
Optimización de la práctica profesional con el 4025 nls ofrece
La integración efectiva del Metatron Hunter 4025 NLS en la práctica profesional requiere planificación estratégica. Los profesionales exitosos desarrollan protocolos sistemáticos de evaluación.
Establecimiento de flujos de trabajo eficientes
Desarrolle un protocolo estándar para cada nuevo paciente. Esto asegura evaluaciones completas y consistentes en todas las sesiones.
El protocolo típico incluye escaneo completo del cuerpo, análisis microbiológico y evaluación de sistemas prioritarios. El tiempo total de evaluación oscila entre 45 y 60 minutos.
Documente los hallazgos de manera sistemática usando plantillas. Esta práctica facilita el seguimiento y la comunicación con otros profesionales.
Protocolo de evaluación inicial
- Recopilación de historia clínica detallada
- Documentación de medicación y suplementos actuales
- Escaneo completo de todos los sistemas corporales
- Análisis microbiológico (bacterias, virus, hongos, parásitos)
- Evaluación de alérgenos y toxinas ambientales
- Generación de informe con hallazgos principales
- Diseño de plan terapéutico personalizado
- Programación de sesión de metaterapia si corresponde
Protocolo de seguimiento
- Revisión de síntomas desde última evaluación
- Verificación de cumplimiento del plan terapéutico
- Escaneo de sistemas prioritarios identificados
- Análisis comparativo con escaneo previo
- Evaluación de efectividad del tratamiento
- Ajustes al plan terapéutico según resultados
- Programación de próxima evaluación
Comunicación efectiva de resultados
Los pacientes necesitan comprender los resultados en términos accesibles. Evite jerga técnica excesiva que pueda causar confusión o ansiedad.
Utilice las visualizaciones gráficas como herramienta educativa. Los modelos 3D y gráficos de color son intuitivos para la mayoría de los pacientes.
Explique la escala de colores de manera simple y clara. Verde significa bueno, amarillo requiere atención, naranja necesita intervención y rojo demanda acción inmediata.

Integración con otras modalidades diagnósticas
El Metatron Hunter 4025 NLS complementa pero no reemplaza métodos diagnósticos convencionales. Úselo como herramienta de screening y orientación clínica.
Confirme hallazgos significativos con pruebas de laboratorio estándar cuando sea apropiado. Esta práctica refuerza la credibilidad y proporciona información complementaria valiosa.
Los profesionales de salud integrativa encuentran particularmente útil combinar el 4025 nls con análisis sanguíneos, estudios de imagen y evaluaciones funcionales.
Capacitación continua y soporte técnico de MAIKONG
El dominio completo del Metatron Hunter 4025 NLS requiere formación continua. MAIKONG proporciona recursos educativos completos para profesionales de salud.

Recursos de capacitación disponibles
Los nuevos usuarios reciben material de entrenamiento completo con cada equipo. Esto incluye DVD de software con tutoriales paso a paso y manuales de usuario detallados.
MAIKONG ofrece sesiones de capacitación en línea en español. Estas sesiones cubren desde operación básica hasta técnicas avanzadas de interpretación y terapia.
La plataforma de aprendizaje incluye casos clínicos reales comentados. Estos ejemplos prácticos aceleran la curva de aprendizaje significativamente.
Capacitación inicial
- Instalación y configuración del sistema
- Navegación por interfaz de software
- Realización de escaneo básico
- Interpretación de gráficos principales
- Generación de informes
Capacitación avanzada
- Análisis microbiológico detallado
- Evaluación de sistemas complejos
- Uso de funciones terapéuticas
- Preparación de remedios informativos
- Casos clínicos complejos
Educación continua
- Webinars mensuales gratuitos
- Actualizaciones de software
- Nuevas funciones y protocolos
- Comunidad de usuarios
- Biblioteca de casos clínicos
Soporte técnico disponible 24 horas
MAIKONG proporciona soporte técnico en línea con respuesta garantizada en 24 horas. El equipo de especialistas resuelve dudas sobre operación, interpretación y resolución de problemas.
El soporte está disponible en español para profesionales en Argentina. Esto elimina barreras de idioma y facilita la comunicación efectiva.
Los canales de soporte incluyen WhatsApp, correo electrónico y plataforma web. Esta diversidad de opciones asegura que cada profesional encuentre el método más conveniente.
¿Necesita asistencia técnica inmediata?
Nuestro equipo de soporte técnico especializado está disponible para ayudarle con cualquier consulta sobre el Metatron Hunter 4025 NLS. Desde configuración inicial hasta técnicas avanzadas de interpretación, estamos aquí para apoyar su práctica profesional.
Garantía y servicio post-venta
Cada Metatron Hunter 4025 NLS de MAIKONG incluye un año de garantía sobre defectos de fabricación. Esta garantía cubre todos los componentes del sistema principal.
El servicio post-venta incluye actualizaciones gratuitas del software. Las nuevas versiones agregan funcionalidades y mejoran la base de datos de referencia.
Para problemas técnicos, MAIKONG facilita el envío de componentes de reemplazo. El tiempo de resolución típico es de 3 a 5 días hábiles en Argentina.

Ventajas del Metatron Hunter 4025 NLS de MAIKONG
Los equipos originales de MAIKONG ofrecen ventajas significativas frente a imitaciones. La calidad de componentes y precisión de resultados marcan la diferencia en la práctica profesional.

Precisión y confiabilidad comprobadas
El sistema alcanza 95% de precisión en investigaciones cuando se opera correctamente. Esta tasa de precisión se mantiene consistente a lo largo del tiempo con equipos originales.
La base de datos contiene 4025 espectros digitales de preparaciones y procesos. Esta biblioteca extensa se actualiza regularmente con nueva información clínica.
Los componentes de hardware de alta calidad aseguran lecturas estables. El generador interno de 4.9GHz opera con precisión constante incluso después de años de uso.
Servicio personalizado OEM/ODM
MAIKONG ofrece servicios de personalización para distribuidores y grandes prácticas. El pedido mínimo para logo personalizado es de 200 piezas.
La personalización incluye empaque con marca propia y materiales de marketing. Esta opción es ideal para profesionales que desean desarrollar su propia marca de servicios.
El servicio OEM también permite modificaciones menores del software. Los distribuidores pueden solicitar traducciones adicionales o interfaces personalizadas.

Red de distribuidores en Argentina
MAIKONG cuenta con distribuidores autorizados en principales ciudades de Argentina. Esta red proporciona soporte local y servicio personalizado.
Los distribuidores ofrecen demostraciones presenciales del equipo. Los profesionales pueden ver el sistema en operación antes de tomar decisión de compra.
El soporte técnico local facilita la resolución rápida de problemas. Los distribuidores mantienen inventario de componentes de reemplazo comunes.
Cómo adquirir el Metatron Hunter 4025 NLS en Argentina
MAIKONG facilita múltiples opciones de adquisición para profesionales de salud en Argentina. El proceso de compra es transparente y directo.

Proceso de consulta y cotización
El primer paso es contactar al equipo de ventas de MAIKONG. Puede hacerlo por WhatsApp, correo electrónico o a través del sitio web oficial.
Un especialista evaluará sus necesidades específicas y práctica profesional. Esta consulta personalizada asegura que el sistema se ajuste a sus requerimientos.
La cotización incluye el equipo completo con todos los accesorios. También detalla opciones de capacitación y soporte técnico disponibles.
Incluido en el paquete estándar
- Unidad principal Metatron Hunter 4025 NLS
- Sensor de audífonos con luz LED
- Copa de testeo para preparaciones
- Cable USB azul de conexión
- 2 cables de conexión negros de alta calidad
- USB dongle para activación de software
- DVD con software Metapathia Hunter
- Caja de aluminio para transporte
- Manual de usuario en español
- Certificado de garantía de 1 año
Servicios complementarios
- Capacitación inicial en línea (incluida)
- Soporte técnico 24 horas (incluido)
- Actualizaciones de software (gratuitas)
- Webinars educativos mensuales (gratuitos)
- Acceso a biblioteca de casos clínicos
- Capacitación avanzada (opcional)
- Certificación profesional (opcional)
Opciones de pago y financiamiento
MAIKONG acepta múltiples métodos de pago para facilitar la adquisición. Las opciones incluyen transferencia bancaria, Western Union y PayPal.
Para distribuidores y clínicas establecidas, existen opciones de financiamiento. Consulte con el equipo de ventas sobre planes de pago adaptados a su situación.
El procesamiento de pedidos es rápido y eficiente. Una vez confirmado el pago, el equipo se envía dentro de 3 a 5 días hábiles.

Envío y entrega en Argentina
Los equipos se envían mediante courier internacional confiable. MAIKONG utiliza servicios como DHL, UPS, TNT o FedEx según disponibilidad.
Cada envío incluye seguro completo y número de rastreo. Los clientes reciben actualizaciones regulares sobre el estado de su pedido.
El tiempo de entrega típico a Argentina es de 5 a 10 días hábiles. El paquete se entrega directamente a la dirección especificada con firma requerida.
Solicite una cotización personalizada hoy
Nuestro equipo de especialistas está listo para asesorarle sobre la mejor configuración del Metatron Hunter 4025 NLS para su práctica profesional. Reciba una cotización detallada sin compromiso y descubra cómo este sistema puede transformar su capacidad diagnóstica.
También puede llamarnos directamente:
Conviértase en distribuidor autorizado de MAIKONG en Argentina
MAIKONG busca distribuidores comprometidos para expandir su presencia en Argentina. Esta es una oportunidad de negocio excepcional en el sector de tecnología médica en crecimiento.

Beneficios de ser distribuidor MAIKONG
Los distribuidores autorizados reciben márgenes competitivos y soporte completo de marketing. MAIKONG proporciona materiales promocionales, catálogos y recursos de venta.
La capacitación técnica completa está incluida para distribuidores. Esto le permite ofrecer demostraciones profesionales y soporte técnico básico a sus clientes.
El territorio exclusivo protege su inversión en desarrollo de mercado. MAIKONG no nombrará otros distribuidores en su área geográfica asignada.
Soporte comercial
- Márgenes de distribución competitivos
- Materiales de marketing profesionales
- Catálogos y folletos impresos
- Contenido digital para redes sociales
- Presencia en sitio web de MAIKONG
- Leads calificados de su territorio
Capacitación incluida
- Formación técnica completa del producto
- Técnicas de demostración efectivas
- Manejo de objeciones comunes
- Soporte técnico nivel 1
- Actualizaciones periódicas de producto
- Acceso a recursos educativos
Ventajas competitivas
- Equipos originales con garantía
- Territorio exclusivo protegido
- Precios preferenciales de distribuidor
- Inventario sin inversión inicial
- Envíos directos al cliente final
- Reconocimiento de marca MAIKONG
Perfil del distribuidor ideal
Buscamos profesionales con experiencia en el sector de salud o tecnología médica. El conocimiento del mercado argentino de medicina alternativa es una ventaja significativa.
Los candidatos deben demostrar capacidad de inversión y compromiso a largo plazo. MAIKONG busca socios estratégicos, no revendedores ocasionales.
La red de contactos en el sector de salud es altamente valorada. Conexiones con clínicas, centros de bienestar o profesionales independientes facilitan el crecimiento rápido.

Proceso de aplicación para distribuidores
El primer paso es contactar al departamento de desarrollo de distribuidores. Envíe información básica sobre su experiencia y propuesta de mercado.
El equipo de MAIKONG evaluará su aplicación y programará una entrevista. Durante esta conversación se discutirán expectativas, territorios y condiciones comerciales.
Los distribuidores aprobados reciben un acuerdo formal que detalla términos y condiciones. Después de la firma, comienza el proceso de capacitación y activación.
Territorios disponibles en Argentina: Actualmente buscamos distribuidores en Buenos Aires, Córdoba, Rosario, Mendoza y otras ciudades principales. Si tiene una red establecida en su región, queremos conocerle. Las oportunidades son limitadas y se otorgan por orden de aplicación calificada.
Inversión y retorno esperado
La inversión inicial es moderada comparada con otras distribuciones de equipamiento médico. No se requiere compra de inventario inicial en la mayoría de los casos.
Los márgenes de distribución permiten recuperación de inversión en el primer año. Con desarrollo activo de mercado, los distribuidores reportan rentabilidad atractiva.
El mercado de diagnóstico no lineal está en expansión en Argentina. La creciente aceptación de medicina integrativa crea oportunidades de crecimiento sostenido.
Únase a la red de distribuidores MAIKONG en Argentina
Esta es su oportunidad de participar en un sector de alto crecimiento con productos de calidad comprobada. MAIKONG ofrece soporte completo, márgenes competitivos y territorio exclusivo. Dé el siguiente paso en su carrera empresarial y construya un negocio sostenible en tecnología de diagnóstico avanzado.
Contacto directo para oportunidades de distribución:
Preguntas frecuentes sobre interpretación de gráficos
Los profesionales nuevos en el sistema frecuentemente tienen preguntas similares. Esta sección responde las consultas más comunes sobre interpretación y uso del Metatron Hunter 4025 NLS.
¿Cuánto tiempo requiero para dominar la interpretación de gráficos?
La curva de aprendizaje varía según experiencia previa en diagnóstico. Profesionales de salud con formación en anatomía y fisiología generalmente dominan los conceptos básicos en 2 a 4 semanas de uso regular.
La interpretación avanzada y análisis de casos complejos requiere 3 a 6 meses de práctica. MAIKONG proporciona soporte continuo y recursos educativos durante todo este proceso de aprendizaje.
La clave es comenzar con casos simples y aumentar gradualmente la complejidad. Utilice los recursos de capacitación y no dude en consultar con el equipo de soporte técnico cuando surjan dudas.
¿Los resultados del 4025 nls son comparables con análisis de laboratorio convencionales?
El Metatron Hunter 4025 NLS utiliza un enfoque diferente al laboratorio convencional. Mientras el laboratorio analiza muestras físicas, el sistema NLS evalúa campos electromagnéticos y frecuencias.
Ambos métodos son complementarios, no mutuamente excluyentes. El sistema NLS puede detectar alteraciones en etapas muy tempranas, a veces antes que los cambios sean evidentes en análisis de sangre.
Para confirmación diagnóstica definitiva, especialmente en condiciones serias, se recomienda realizar pruebas de laboratorio convencionales complementarias. Use el 4025 nls como herramienta de screening y orientación clínica.
¿Qué tan frecuentemente debo realizar escaneos de seguimiento?
La frecuencia de seguimiento depende de la condición del paciente y el protocolo terapéutico. Para condiciones agudas o tratamientos intensivos, evaluaciones cada 2 a 4 semanas son apropiadas.
En casos de mantenimiento de salud o prevención, escaneos trimestrales son generalmente suficientes. Pacientes con condiciones crónicas estables pueden evaluarse cada 2 a 3 meses.
Evite escaneos demasiado frecuentes (menos de 2 semanas entre sesiones). Los cambios biológicos significativos requieren tiempo para manifestarse, y evaluaciones excesivas pueden generar ansiedad innecesaria.
¿El sistema puede detectar cáncer en etapas tempranas?
El hunter 4025 nls puede identificar alteraciones celulares y cambios en patrones de crecimiento tisular. Estos hallazgos pueden sugerir procesos pre-cancerosos o neoplásicos tempranos.
Sin embargo, el sistema NO diagnostica definitivamente cáncer. Cualquier hallazgo sospechoso de posibles tumores debe ser evaluado mediante métodos diagnósticos convencionales como biopsia, estudios de imagen o marcadores tumorales.
Use el sistema como herramienta de screening para identificar áreas que requieren investigación adicional. Su valor radica en la detección temprana que permite intervención precoz cuando es más efectiva.
¿Necesito conocimientos médicos para operar el equipo?
El software del Metatron Hunter 4025 NLS es intuitivo y fácil de operar técnicamente. La operación básica del equipo puede aprenderse en pocas horas de práctica.
Sin embargo, la interpretación clínica de resultados requiere conocimiento de anatomía, fisiología y patología. Los profesionales de salud con formación médica formal obtendrán mayor valor del sistema.
MAIKONG recomienda que solo profesionales de salud licenciados utilicen el sistema para evaluación de pacientes. La capacitación proporcionada asume conocimientos básicos de ciencias de la salud.
¿El equipo requiere mantenimiento regular?
El Metatron Hunter 4025 NLS requiere mantenimiento mínimo. Los componentes electrónicos son robustos y diseñados para uso profesional continuo.
El mantenimiento principal consiste en mantener limpios los sensores y cables. Limpie el sensor de audífonos con paño suave después de cada uso. Evite líquidos y productos químicos agresivos.
Las actualizaciones de software se realizan periódicamente y son gratuitas. Estas actualizaciones mejoran funcionalidades y amplían la base de datos de referencia. El equipo de soporte técnico le notificará cuando haya actualizaciones disponibles.

Conclusión: Dominando la interpretación de gráficos del Metatron Hunter 4025 NLS
La interpretación efectiva de gráficos del Metatron Hunter 4025 NLS es una habilidad que se desarrolla con práctica y estudio continuo. Este sistema representa una herramienta poderosa para la práctica profesional moderna en Argentina.
Los profesionales que dominan esta tecnología ofrecen a sus pacientes evaluaciones integrales y no invasivas. La capacidad detectar alteraciones en etapas tempranas mejora significativamente los resultados terapéuticos.

La tecnología de diagnóstico no lineal continuará evolucionando y mejorando. MAIKONG se compromete a mantener sus equipos actualizados con las últimas innovaciones del campo.
El análisis multidimensional que ofrece el 4025 nls proporciona perspectivas únicas sobre la salud integral. Esta visión holística del cuerpo humano complementa perfectamente enfoques de medicina integrativa.
La inversión en un Metatron Hunter 4025 NLS de MAIKONG es una inversión en la excelencia de su práctica profesional. Los equipos originales garantizan precisión, durabilidad y soporte técnico continuo.
Beneficios clave para su práctica
- Evaluaciones completas en 45-60 minutos
- Diagnóstico no invasivo apreciado por pacientes
- Detección temprana de desequilibrios
- Seguimiento objetivo de progreso terapéutico
- Diferenciación competitiva en el mercado
- Múltiples fuentes de ingresos (diagnóstico + terapia)
- Satisfacción elevada de pacientes
- Construcción de práctica basada en resultados
Próximos pasos recomendados
- Contacte a MAIKONG para una consulta personalizada
- Solicite una cotización detallada sin compromiso
- Explore opciones de financiamiento si aplica
- Programe una demostración del sistema
- Revise opciones de capacitación disponibles
- Considere oportunidad de distribución si califica
- Planifique la integración en su práctica actual
- Inicie su camino hacia diagnóstico avanzado
El futuro de la medicina integrativa en Argentina es prometedor. Profesionales equipados con tecnología avanzada como el Metatron Hunter 4025 NLS liderarán esta transformación del cuidado de la salud.
MAIKONG se enorgullece de apoyar a profesionales de salud comprometidos con la excelencia. Nuestro equipo está listo para ayudarle a incorporar esta tecnología revolucionaria en su práctica.
Dé el siguiente paso hacia diagnóstico avanzado
El Metatron Hunter 4025 NLS de MAIKONG puede transformar su capacidad diagnóstica y expandir sus servicios profesionales. Con 95% de precisión, soporte técnico completo en español y garantía de un año, es la elección confiable para profesionales de salud serios en Argentina.
Ya sea que busque adquirir un equipo para su práctica o explorar oportunidades de distribución, estamos aquí para ayudarle. Contacte hoy y descubra cómo el diagnóstico no lineal puede beneficiar a sus pacientes y su negocio.
Gracias por leer esta guía completa sobre interpretación de gráficos del Metatron Hunter 4025 NLS. Esperamos tener la oportunidad de apoyar su éxito profesional y contribuir al bienestar de sus pacientes en Argentina.

